About Us

About Us

Professionals and Personalized Dental Excellence

We offer high-quality dental care tailored for the whole family. From routine checkups to advanced treatments, our compassionate team ensures your smile stays healthy and confident.

  • Personalized Treatment Plans
  • Gentle Care for Kids and Adults
  • State-of-the-Art Technology
  • Flexible Appointment Scheduling
Book Appointment
Our Portfolio

Transforming Smiles

See the amazing transformations we've achieved for our patients. Slide the handle to compare before and after results of our dental treatments.

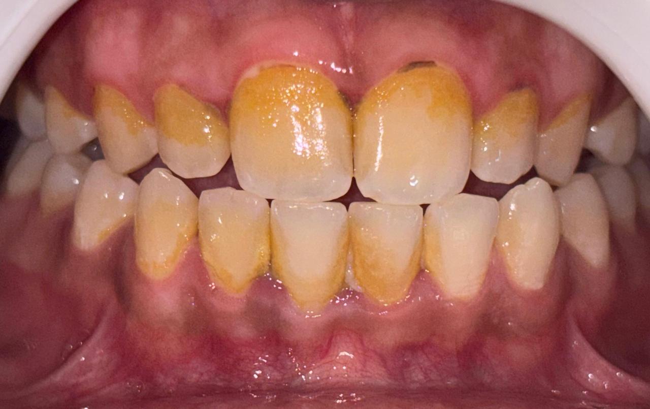
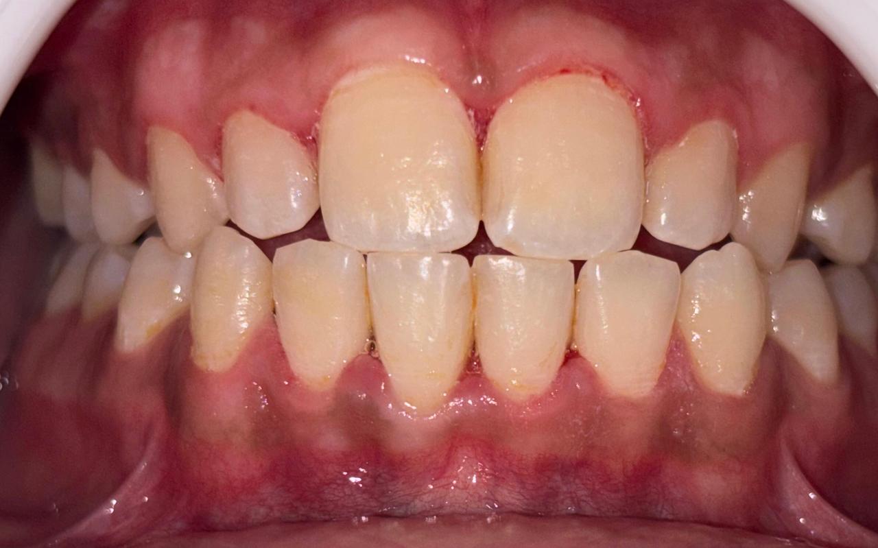
Before treatment After treatment
Before
After

Scaling & Polishing

Professional teeth cleaning and polishing for a brighter, confident smile

Before treatment After treatment
Before
After

Teeth Whitening

Professional teeth whitening for a brighter, confident smile

Before treatment After treatment
Before
After

Teeth Restoration

Restoring teeth for perfect alignment and function

Why Choose Our Dental Care

Exceptional Service With a Personal Touch

Choosing the right dental provider matters. We combine expert care, advanced technology, and a warm atmosphere to ensure every visit is comfortable, efficient, and tailored to your unique needs.

Experienced Dental

Skilled care backed by years of trusted dental experience.

Advanced Technology

Modern tools ensure accurate and efficient treatments.

Personalized Treatment

Custom care plans made to fit your smile and lifestyle.

Family-Friendly

Welcoming space for kids, teens, adults, and seniors.

Our Services
Contact Us
Monday to Saturday 4-10PM
Citi Housing, U Market, Gujranwala, Pakistan
ukdentalcare.co@gmail.com
About Us

At Dentia, we’re dedicated to providing high-quality, personalized dental care for patients of all ages. Our skilled team uses the latest technology to ensure comfortable, efficient treatments and beautiful, healthy smiles for life.